Bidfunktion for hele teamet med Tandlæge Andrea Poulsen

Ring for at bestil

Kort om kurset

Kursus for hele klinikken med Tandlæge Andrea Poulsen

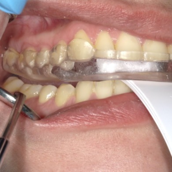
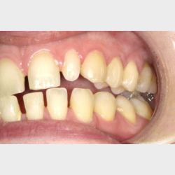
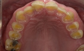
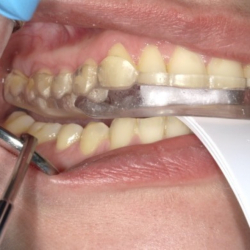
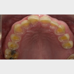
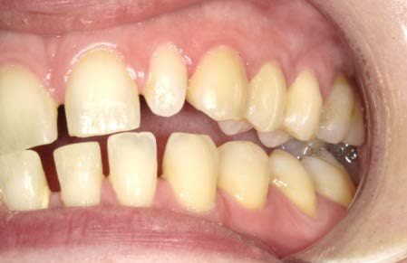
Kurset gennemgår forskellige årsager til slid, herunder hvorfor malokklusion kan føre til slid. Vi taler om tandstilling, hjørnetandsføring, erosion, abfraction og behandling med bidskinner. Få blandt andet mere at vide om krokodille eller ko og den farlige mediotrusion!

Dette kursus er målrettet alle på klinikken, som ønsker at forbedre deres diagnostiske evner, og som tager en aktiv interesse i at forstå og bidrage positivt til arbejdsgangene med bidfunktions-behandlinger, bidskinner og sund okklusion helt generelt.

Tandlæge Andrea Poulsen vil ved hjælp af studiemodeller, patient-cases og kliniske videoer gennemgå årsager til forringet bidfunktion, slid og erosion, så du kan genkende dem på et tidligt stadie og vejlede patienterne til optimal forebyggelse og behandling.

Kort sagt vil du blive rustet til at diagnosticere og hjælpe dine patienter på et højere niveau.


Praktisk info 

Underviser 

Tandlæge Andrea Poulsen er uddannet fra Aarhus Tandlægeskole i 2005 og har siden da primært arbejdet i privat praksis –både som klinikejer og ansat tandlæge.
Andrea har specielt fokus på rehabilitering af patienter med større behandlingsbehov. Hun har en stor interesse i bidfunktion og laver en del bidhævningsbehandlinger.
I Danmark har Andrea deltaget på en stor mængde kurser omhandlende bidfunktion - og i England har hun gennemført Core Curriculum ved Dawson instituttet i Wirral.

 

Sted 
På jeres egen klinik med jeres egen forplejning. 

Timer 
Et besøg har en varighed på ca. 6 timer. Det kan tilpasses efter jeres behov.

 

Kursusbevis 
Der kan udstedes kursusbevis til hver enkelt deltager med 5 timer.

 

Målgruppe 
Hele klinikken.


Pris 
33.250 kr. inkl. moms. for op til 20 deltagere.

Ekstra deltagere faktureres med 500 kr. inkl. moms.

I tillæg kommer kørsel fra Kolding efter Statens gældende kilometertakst og evt. broafgifter.

Bestilling 
Bestil et kursus på klinikken ved at ringe til telefon 30 71 60 81 eller ved at skrive en mail til info@dentalinstituttet.dk 

Model/Varenr.: Klinikkursus
Lagerstatus: På lager

Emner 

  • Hvordan ser forskellige typer slid ud, og hvorfor er årsagen ikke ligegyldig?  
  • Hvornår er det behandlingskrævende, og hvornår skal du være mindre bekymret?  
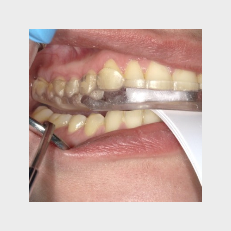
  • Hvordan viser du det for patienten og vejleder dem til behandling?
  • Hvordan ser en sund stabil okklusion ud?  
  • Hvad er statisk og dynamisk okklusion og hvordan påvirker det tænderne?  
  • Hvad er en mediotrusionsføring, og hvorfor er de vigtige at opdage?
  • Hvad skal du være opmærksom på, inden du laver en bidskinne?  
  • Hvorfor er en skinne ikke bare en skinne?
  • Hands-on øvelse med okklusionspapir og leaf gauge