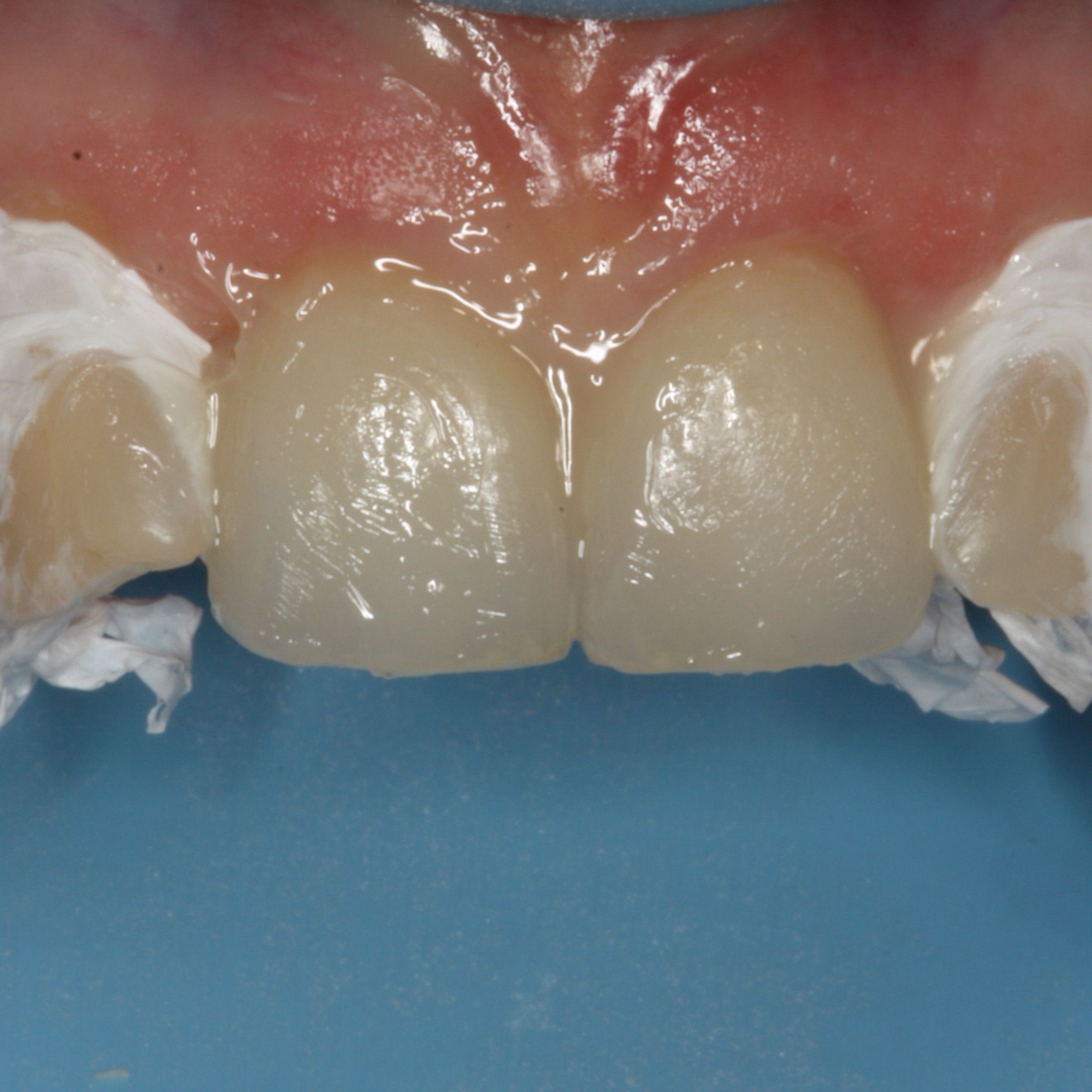
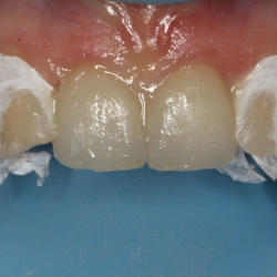
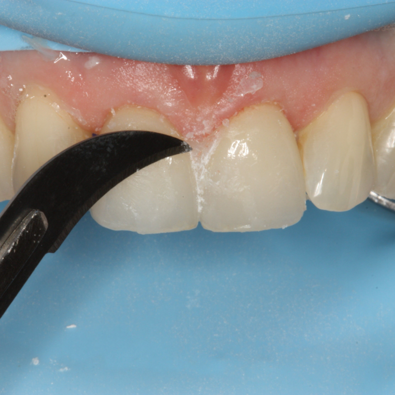
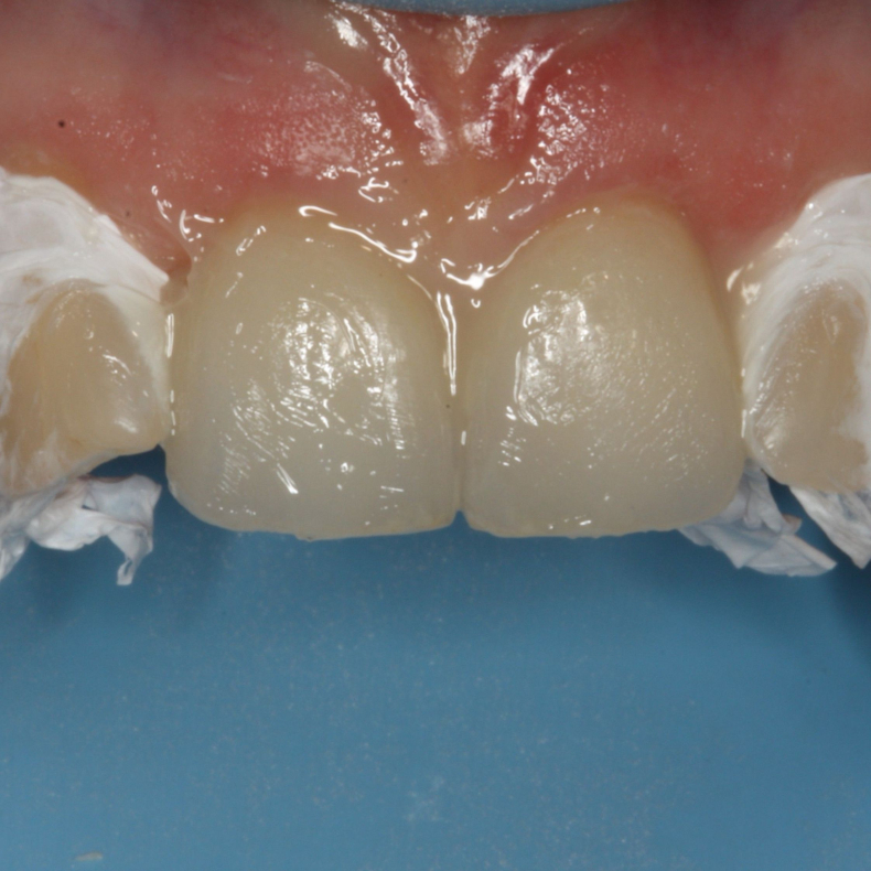
Bonding & cementering - Har du prøvet at gå op i limningen?

14.750,00 DKK

Vælg dato
Deltagere

Et 2-dages kursus i klinisk relevant adhæsiv arbejdsgang med Tandlæge Daniel Taro Okuno

 
Kort om kurset

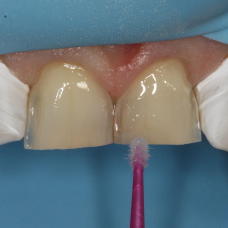
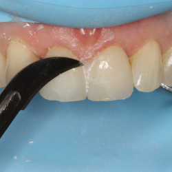
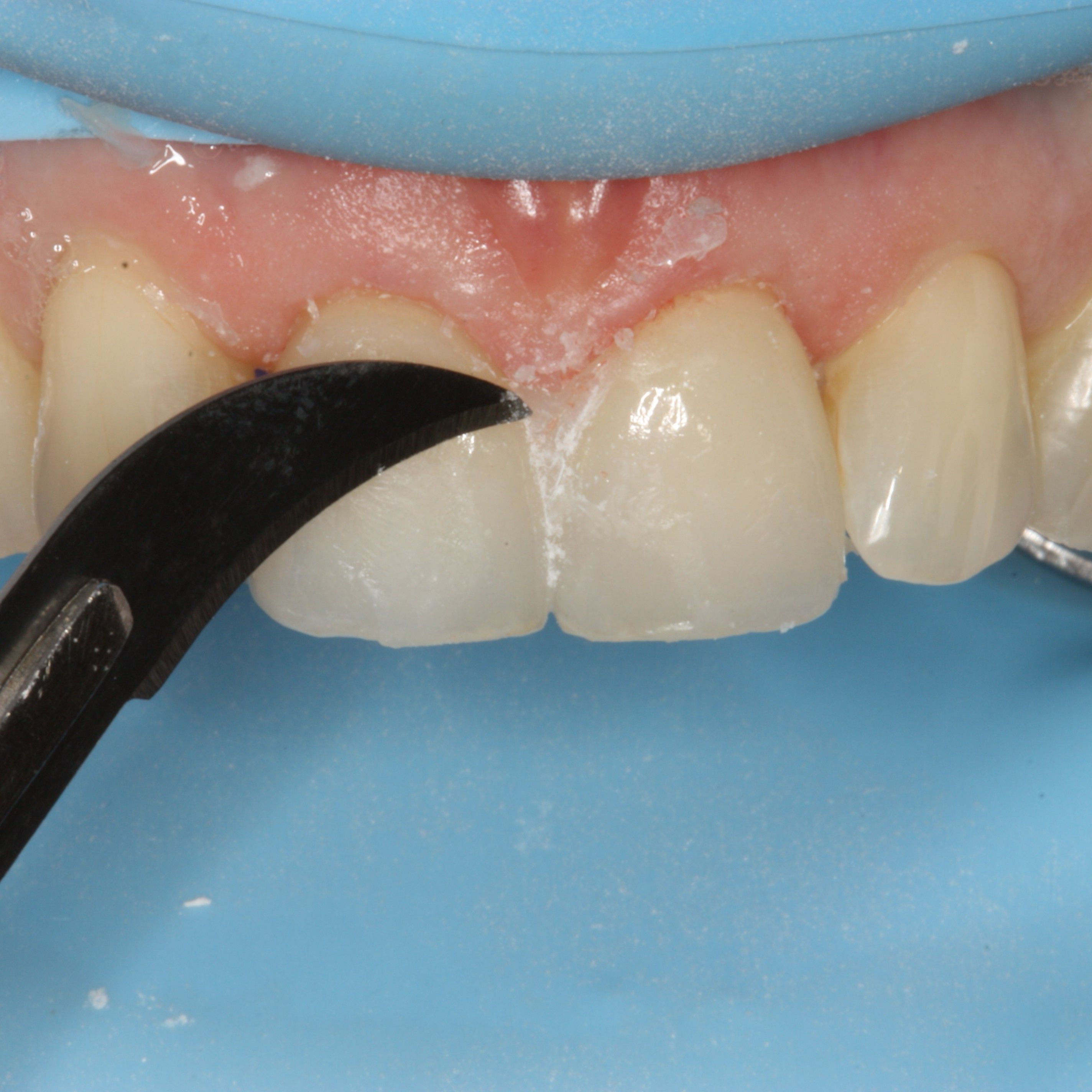
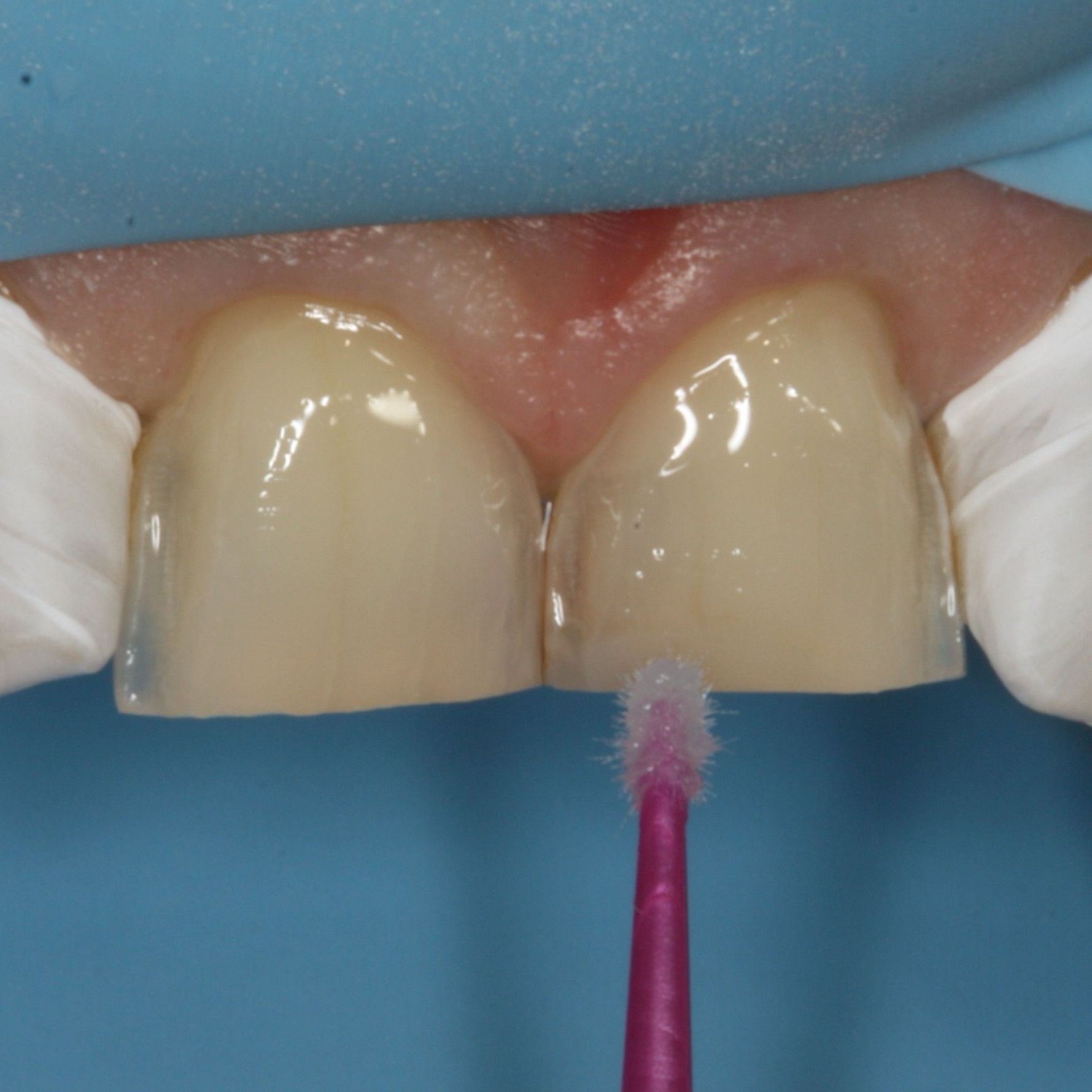
Bonding er fundamentet for moderne restaurativ tandpleje. Alligevel oplever mange tandlæger fortsat debonding, postoperativ sensitivitet, marginale problemer og uforudsigelige resultater – ofte uden helt at vide hvorfor.

Dette 2-dages kursus med Tandlæge Daniel Taro Okuno er skabt til at bygge bro mellem kemi, biologi og klinik og give dig konkrete, anvendelige værktøjer, som kan implementeres direkte i hverdagen.

Kurset bygger på underviserens mere end 20 års kliniske og materialefaglige erfaring med adhæsive systemer, herunder omfattende arbejde med moderne MDP-baserede adhæsiver.

 

Praktisk info

Underviseren

Tandlæge Daniel Taro Okuno står til daglig i spidsen for Ordruptand - en klinik, hvor æstetik og faglig præcision smelter sammen, og hvor patientens oplevelse altid er i centrum. Her er tandbehandling en disciplin, hvor ro, tryghed og respekt for detaljen går hånd i hånd med moderne odontologi. Klinikken er udstyret med high-end løsninger, og hver behandling er båret af en ambition om at forene optimal funktion med smertefri komfort. Daniel er desuden meget velovervejet med de materialer, han anvender i sin praksis.

Mange kender måske Daniel som passioneret underviser på Tandlægeforeningens Årskursus og som tidligere repræsentant i gennem flere år for RH Dental og Kuraray, hvor han har formidlet arbejdsgange med bonding.

Målgruppe

Kurset er målrettet tandlæger - både nyuddannede og erfarne, der ønsker større sikkerhed, forudsigelighed og holdbarhed i deres adhæsive behandlinger.


Tid & Sted 

Køge 

Fredag d. 8. maj & lørdag d. 9. maj 2026.

Fredag fra kl. 10.00-16.00
Lørdag fra kl. 09.00-14.00
 
Rox Resort
Nordstranden 10
4600 Køge

Kursusstedet

Kurset afholdes på Rox Resort, et elegant og stemningsfuldt resort, hvor klassisk æstetik møder moderne velvære. Inspireret af 1920’ernes og 30’ernes koloniale elegance –med referencer til britisk stil og Hong Kongs livlige havnemiljø –danner Rox Resort en unik ramme for fordybelse og faglighed kombineret med udsøgt komfort.

For overnattende deltagere er der adgang til resortets eksklusive Pool Club, hvor der er mulighed for afslapning og restitution i rolige, stilfulde omgivelser mellem kursusdagene.

Begge dage inkluderer forplejning under hele kurset med morgenmad, frokost og snacks. Fredag aften byder på en lækker 3-retters middag i restauranten for tilmeldte deltagere.

 

Pris

Per deltager inkl. middag & overnatning på Rox Resort: 14.750 kr. inkl. moms
Per deltager inkl. middag men UDEN overnatning: 12.750 kr. inkl. moms
Per deltager UDEN middag & overnatning: 11.750 kr. inkl. moms

(Fravælg venligst herunder, hvis du ikke ønsker overnatning eller middag!)

 


Tilvalg
  • Overnatning og middag på 2-dages kursus

    Ønsker du overnatning inkl. Pool Club samt middag fredag aften på Rox Resort?

    ( + 0,00 DKK )
    ( + -2.000,00 DKK )
    ( + -3.000,00 DKK )

Hvad handler kurset om?

Kurset giver dig en dyb, men praksisnær forståelse af:

  • hvordan bonding reelt fungerer på dentin, emalje, metal, porcelæn, zirkonia og resin

  • hvorfor nogle adhæsive behandlinger holder i årevis - og andre fejler tidligt

  • hvordan du vælger den rigtige strategi frem for “one-size-fits-all”

Fokus er ikke på teori for teoriens skyld, men på klinisk beslutningstagning, fejlforebyggelse og forudsigelighed.

 

Hvad får du med hjem?

Efter kurset vil du:

  • have klarhed over adhæsive principper, uanset om du er ny eller erfaren

  • kunne vælge og anvende bonding-og cementeringsstrategier mere sikkert

  • forstå MDP-monomerens rolle og hvornår kemisk binding er afgørende

  • kunne udføre facadecementering og almindelig cementering med større tryghed

  • kende rationalet og den praktiske anvendelse af Immediate Dentin Sealing(IDS)

  • vide, hvordan du undgår de hyppigste kliniske fejl

 

Handelsbetingelser 

Om ønsket kan et kursus afbestilles indtil 5 uger før uden omkostninger. Afbestilles der 2-5 uger før, så refunderes 50% af kursusprisen. Afbestilles der mindre end 2 uger før, så kan vi desværre ikke refundere kursusgebyret, da vi hæfter for omkostninger på dette tidspunkt. 

Kursuspladsen kan dog afsættes til en anden deltager uden omkostninger. 

En eventuel aflysning skal ske via e-mail til info@dentalinstituttet.dk