Fra Rod til Resultat

Stykpris v/ 1 stk. 5.750,00 DKK

Stykpris v/ 2 stk. 5.250,00 DKK 5.750,00 DKK

Vælg dato
Deltagere

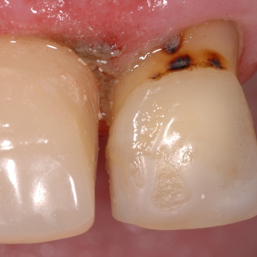
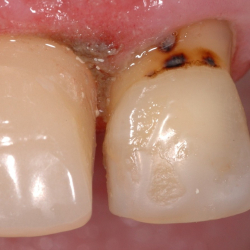
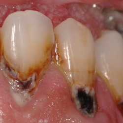
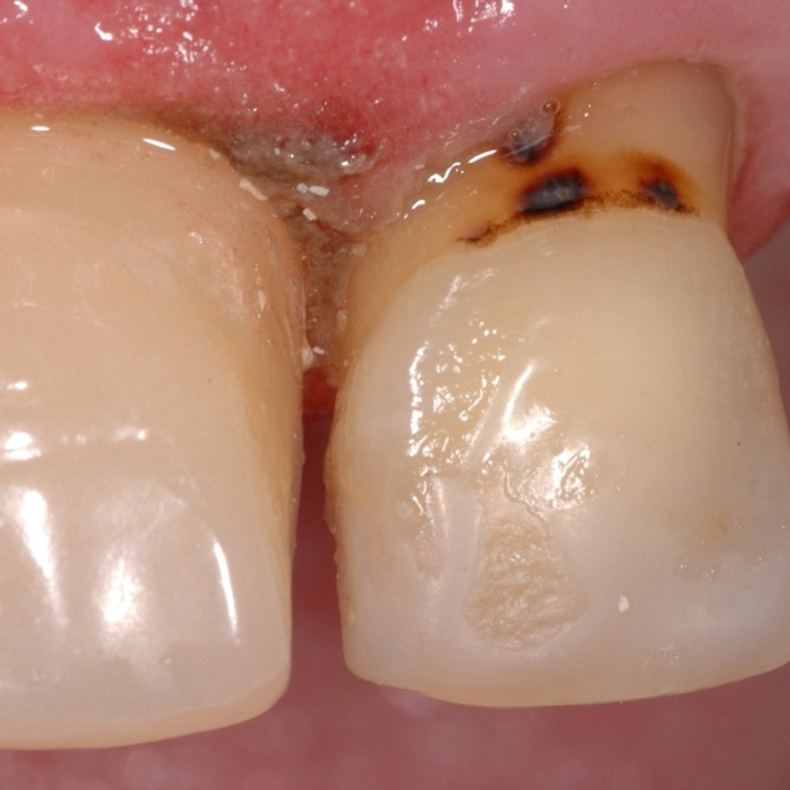
Hands-on Klasse V Fyldning på tandens krone-og rodoverflade

 

Kort om kurset


Velkommen til et praksisnært heldagskursus for hele tandklinikteamet – tandlæger, tandplejere og klinikassistenter – med fokus på klasse V-kaviteter og håndtering af rodcaries.

Kurset kombinerer teori, hands-on øvelser og tværfaglig dialog. Deltagerne opnår konkret viden om indikationer, materialevalg, teknik og kvalitetssikring ved cervikale fyldninger – både på tandens krone og rodoverflader. Tandplejere får derudover målrettet træning i at kunne varetage fyldningsopgaver som en delegeret behandling, når tandlægen ønsker det. Kurset ruster hele teamet til at arbejde mere effektivt, sikkert og koordineret – med patienten i centrum og høj kvalitet som fælles mål.

Kurset udbydes i samarbejde med GC Danmark, som sponsorerer materialer m.m.

 

Praktisk info

Underviserne 
Vi har to meget kompetente undervisere på dette kursus. Azam og Ana har mange års undervisningserfaring og tilstræber at omsætte teori til direkte anvendelig klinisk viden samt at gøre komplekse kliniske emner både forståelige og praksisnære.

 
Azam Bakhshandeh, Lektor, Ph.d., Tandlæge
Azam er uddannet tandlæge i 2005 og opnåede sin ph.d.-grad i 2011 –begge dele fra Tandlægeskolen i København. Azam er kursusleder i bl.a. plastiske restaureringer på Tandlægeskolen.
 
Ana Benetti, Lektor, Ph.d., Tandlæge
Ana er uddannet tandlæge fra Bauru Tandlægeskole i Brasilien i 2000 og fik sin ph.d.-grad i 2007 inden for dentale materialer. Ana er kursusleder i dentale materialer på Tandlægeskolen.
 


Målgruppe

Kurset er målrettet for hele tandklinikteamet.


Tid & Sted 

København 

Tirsdag d. 17. marts 2026 kl. 09.00-16.00

DGI Byen
Tietgensgade 65
1704 København V
 

Odense 

Mandag d. 20. april 2026 kl. 09.00-16.00

Nærmere lokation følger.
 

Aarhus 

Tirsdag d. 28. april 2026 kl. 09.00-16.00

Nærmere lokation følger.
 
 
København 

Tirsdag d. 5. maj 2026 kl. 09.00-16.00

Nærmere lokationer følger.


Kursustimer

Der uddeles kursusbeviser m. 6 timer.

Pris
Per deltager – 5.750 kr. inkl. moms, materialer og forplejning. 

Tilbud: Få 500 kr i rabat per deltager ved flere tilmeldte fra samme klinik.


Kursusindhold 

TEORI & HANDS-ON CERVIKALE FYLDNINGER:

  • Vi lægger ud med korte, appetizerøvelser, hvor du får hænderne i materialerne og lærer deres egenskaber at kende –hvordan de opfører sig, og hvad du skal være særligt opmærksom på i din kliniske procedure.

  • Derefter går vi direkte videre til en dynamisk vekslen mellem skarp, kort og relevant teori og hands-ontræning på fantommodeller.

  • Du får mulighed for at arbejde med både glasionomercementog plastmaterialer –sat ind i realistiske patientcases, hvor vi sammen vurderer fordele, ulemper og indikationer.

  • Vi stiller skarpt på de kliniske valg: Hvad gør du, når en cervikalfyldning ikke længere fungerer optimalt? Kan den optimeres med en renovering eller reparation, eller er tiden inde til en komplet omlavning?

 

Handelsbetingelser 

Om ønsket kan et kursus afbestilles indtil 5 uger før uden omkostninger. Afbestilles der 2-5 uger før, så refunderes 50% af kursusprisen. Afbestilles der mindre end 2 uger før, så kan vi desværre ikke refundere kursusgebyret, da vi hæfter for omkostninger på dette tidspunkt. 

Kursuspladsen kan dog afsættes til en anden deltager uden omkostninger. 

En eventuel aflysning skal ske via e-mail til info@dentalinstituttet.dk