Forenklet æstetik i fronten

12.500,00 DKK

Vælg dato
Deltagere

2-dages hands-on kompositkursus med Tandlæge Petteri Viljakainen

 
Kort om kurset

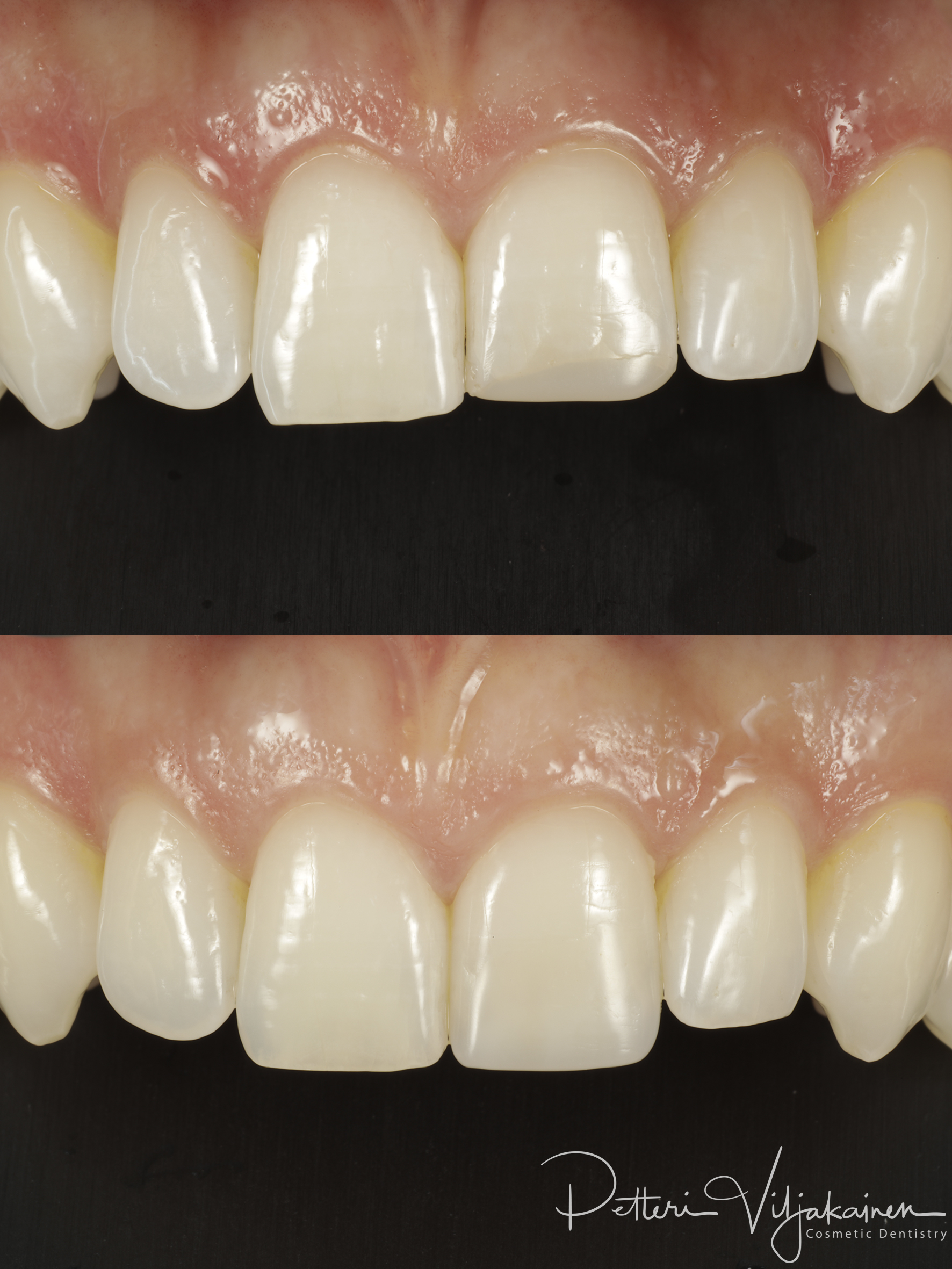
Moderne kompositmaterialer har ændret måden, vi skaber smukke restaureringer i fronten på. Nutidens materialer er højtranslucente og blender let ind med kamæleonegenskaber. Fremragende æstetik kan ofte opnås med blot én eller to farver – og på en måde, der matcher det, mange patienter faktisk ønsker: et lyst, harmonisk og enkelt udtryk, der ser "friskt" ud frem for detaljeret med mørkere karakteristika.

Dette kursus fokuserer på, hvordan du leverer den type kompositbehandlinger i fronten, som mange patienter sætter pris på – med teknikker, der er minimalt invasive, forudsigelige og effektive.

Dr. Petteri Viljakainen vil dele sin viden og erfaring om de praktiske metoder, som han har fundet mest velfungerende på tværs af alle relevante indikationer i fronten – fra klasse IV-restaureringer og edge bonding til kompositfacader og lukning af diastemer.

I løbet af to intensive hands-on-dage får du mulighed for at styrke dine færdigheder i planlægning og udførelse af moderne æstetiske behandlinger, med fokus på enkelhed, konsistens og høj klinisk kvalitet.

 

Praktisk info

Underviseren: Tandlæge Petteri Viljakainen
Dr. Petteri Viljakainen (DDS, HLL) blev uddannet fra Universitetet i Helsinki i 2009 og regnes i dag for en af Skandinaviens førende kapaciteter inden for moderne, minimalt invasiv æstetisk tandpleje.

Han er akkrediteret medlem af både American Academy of Cosmetic Dentistry (AACD) og British Academy of Cosmetic Dentistry (BACD), en anerkendelse som kun opnås af ganske få klinikere på verdensplan.

Petteri er specialiseret i non-invasive kompositfacader og æstetiske restaureringer i fronten, ofte i kombination med Invisalign-behandling. Hans tilgang bygger altid på at bevare så meget naturlig tandsubstans som muligt.

Han underviser internationalt og fungerer som Key Opinion Leader for flere dentale virksomheder.

Petteri arbejder til daglig på tandklinikken eSmile Espoo i Helsinki og holder sig opdateret gennem kontinuerlig efteruddannelse og internationalt samarbejde.

Målgruppe

Kurset er målrettet tandlæger.


Tid & Sted 

København 

Fredag d. 6 marts & lørdag d. 7. marts 2026. Begge dage kl. 09.00-16.00

1 Hotel Copenhagen
Krystalgade 22
1172 København K


Pris
Per deltager for 2-dages Masterclass: 12.500 kr. inkl. moms og forplejning. 

Overnatning er ikke inkluderet, men vi hjælper gerne med booking af hotel og gode råd til, hvad man kan se og opleve i København.

 

Sponsor

Ultradent er venlig sponsor af materialer til kurset.


Kursets målsætning:

Dette kursus fokuserer på teknikker til forskellige kompositrestaureringer i fronten. Du lærer Petteri Viljakainens mest effektive metoder til: 

  • Klasse IV-restaureringer

  • "Composite edge bonding" ved brug af lag-på-lag-teknik, understøttet af en transparent putty-indeks i den endelige bearbejdning

  • Lukning af diastemer

  • Kompositfacader

  • At skabe naturligt udseende restaureringer

  • Patientudvælgelse – indikationer og kontraindikationer (patientens alder, forventninger, okklusion, mundhygiejne)

  • Valg af instrumenter for en lettere og mere forudsigelig arbejdsgang

  • Teknikker til den afsluttende formgivning og polering af kompositrestaureringer

 

Handelsbetingelser 

Om ønsket kan et kursus afbestilles indtil 5 uger før uden omkostninger. Afbestilles der 2-5 uger før, så refunderes 50% af kursusprisen. Afbestilles der mindre end 2 uger før, så kan vi desværre ikke refundere kursusgebyret, da vi hæfter for omkostninger på dette tidspunkt. 

Kursuspladsen kan dog afsættes til en anden deltager uden omkostninger. 

En eventuel aflysning skal ske via e-mail til info@dentalinstituttet.dk