3STEP HANDS-ON med FRANCESCA VAILATI

30.750,00 DKK

Vælg dato
Deltagere

Med Tandlæge Francesca Vailati.

3-dages Masterclass i København - Kun 15 pladser tilbage!

 

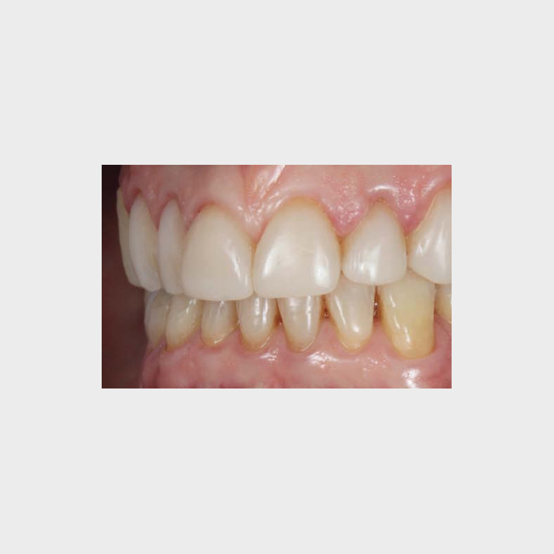
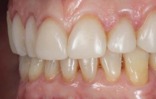
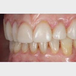
3STEP HANDS-ON er en 3-dages Masterclass med en innovativ tilgang til tygge-og bidfunktion i behandlingen af patienter med problemer. På 3STEP HANDS-ON masterclass arbejder vi videre med Dr. Francesca Vailatis berømte 3STEP-metode med additiv adhæsiv protetik til minimal invasiv behandling af slidte tandsæt, og på dette praktiske hands-on kursus introducerer Francesca Vailati deltagerne endnu mere til metoden på tre intense dage - noget, der normalt kræver flere års træning med masteruddannelser og klinisk erfaring. 

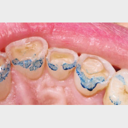
HANDS-ON-kurset er designet til at forklare de tekniske aspekter af 3STEP-teknikken med udgangspunkt i behandlingen af en virkelig patient udført af Francesca Vailati i hendes private klinik. Deltagerne skal udføre de korrekte okklusale justeringer på artikulerede modeller og vil skulle præsentere deres egne additive veneers - fremstillet af deres laboratorietandteknikere ud fra casen. Restaureringerne bliver fotograferet og vurderet én for én af Francesca Vailati for at træne deltagernes øje for teknikken og hjælpe deres teknikere med feedback på deres protetik.

I kurset er inkluderet adgang til Francesca Vailati's e-læringskursus ”Classic 12-hour 3STEP Method course” i ét år, da Francesca Vailati forudsætter, at du har forberedt dig grundigt inden deltagelse i dette hands-on kursus.

Se nederst på denne side hvordan du skal forberede dig.

 

 

 

 

 

 

 

 

 

 

 

 

Underviseren 

Dr. Francesca Vailati har en medicinsk uddannelse fra Universitetet i Bari, Italien - fuldført i 1996. Hun forlod Italien og blev færdig med sin bachelor som tandlæge på Universitetet i Pennsylvania i USA i år 2000. 

I 2003 opnåede hun certifikation som prosthodontist fra Pennsylvania, samtidig med en kandidatgrad som tandlæge fra universitetet i Connecticut, USA. 

Hun vendte tilbage til Europa i 2004, hvor hun arbejdede med Professor Urs Belser på Universitetet i Genève, Schweiz indtil 2020.

Nu har hun en privat klinik i Genève dedikeret til rehabilitering af det slidte og dysfunktionelle tandsæt. 

I juli 2022 udgav hun en bog om sin 3STEP-metode med dokumentation af patienter fulgt i mere end 15 år.

 

Kursets målsætninger

  • Lær, hvordan en virkelig case restaureres efter 3STEP-workflowet.

  • Vurdér dit eget tyggemønster med GTest.

  • Kontrollér gyldigheden af det digitale laboratorieprojekt for de posteriore tænder.

  • Lær at fremstille en ”transparent key” og et ”Direct White Bite”.

  • Identificér “Posterior Garages” og deres rolle i de statiske og dynamiske funktionelle konflikter.

  • Udfør okklusale justeringer på artikulerede modeller for at fordele belastningen i MIP (Maximum Intercuspation Position = maksimal intercuspidation).

  • Justér formen på de posteriore tænder med tanke på “Posterior Garages” for at undgå dynamiske konflikter.

  • Evaluer dit samarbejde med din tekniker under fremstillingen af de additive facader (veneers).


Praktisk info

Tid & Sted

København

Torsdag d. 23. april til lørdag d. 25. april 2026. Alle dage fra kl. 09.00-17.00

1 Hotel Copenhagen
Krystalgade 22
1172 København
 

Målgruppe 
Kurset er målrettet tandlæger - men alle faggrupper er velkomne. Måske vil du gerne have din klinikassistent med til øvelserne - eller en tandtekniker, som du har et godt samarbejde med. 

Medfølgende klinikassistenter og tandteknikere får 25% rabat. Dette er ud fra en forventning om, at de vil arbejde sammen med dig med anvendelse af samme udstyr. (Afkryds under tilvalg nederst på siden.)

 

Undervisningssprog 
Engelsk

 
Pris

3-dages kursus inkl. moms, e-læringskursus til forberedelse, materialer og kursusforplejning: 30.750 kr. 

Der er kun plads til 35 deltagere på denne masterclass, så vent ikke for længe med din tilmelding, hvis du gerne vil med.

BEMÆRK: Ved tilmelding giver du Dentalinstituttet tilladelse til at dele din e-mail med 3STEP ACADEMY, så de kan sende dig et brugernavn og en adgangskode til e-læringskurset ”Classic 12-hour 3STEP Method”.

 

 


Tilvalg
  • Tandklinikassistent/Laboratorietandtekniker - rabat 25%

    ( + 0,00 DKK )
    ( + -7.687,50 DKK )

Forberedelse

I kurset er inkluderet adgang til Francesca Vailati's e-læringskursus ”Classic 12-hour 3STEP Method course” i ét år.

Francesca Vailati forudsætter, at du har forberedt dig grundigt inden deltagelse i dette hands-on kursus. Hun vil gå meget direkte til den praktiske del af kurset, så du vil blive forvirret på et højere plan, hvis du ikke har forberedt dig.

 

Hvordan skal du forberede dig?

1. Gennemgå e-læringskurset ”Classic 12-hour 3STEP Method”. Du får tilsendt oplysninger til gratis adgang af 3STEP-teamet.

2. Ca. 3 måneder inden kurset får du tilsendt digitale modeller til en patient-case, som du skal forberede i samarbejde med din laboratorietandtekniker. Der vil altså blive nogle teknikudgifter til at printe modellerne og få lavet 6 ”additive veneers” – eller som minimum de 2 centrale incisiver.

3. 3STEP opretter en WhatsAPP-gruppe, hvor du vil kunne stille eventuelle spørgsmål til casen.

4. Francesca anbefaler at læse kapitel 3 i hendes bog grundigt. Hun siger dog, at indholdet af kapitel 3 også kommer til at fremgå af alt det materiale, som du får gratis adgang til, så du skal ikke gå i panik, hvis du ikke har bogen.

 

Handelsbetingelser 

Du kan uden omkostninger afbestille kurset frem til 1. februar 2026. 

Efter denne dato kan kursusgebyret desværre ikke refunderes. Det skyldes få pladser og den nødvendige forberedelsestid for eventuelle nye deltagere.

En eventuel afbestilling skal ske via e-mail til info@dentalinstituttet.dk